Рецессия десны: причины, классификация, прогнозы и современные методы лечения
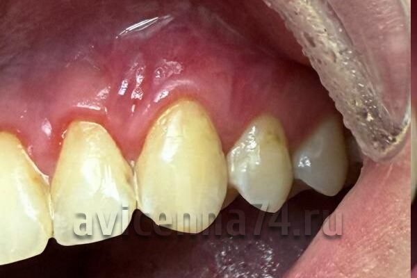
Рецессия десны — это патологическое состояние, характеризующееся апикальным смещением десневого края с оголением шейки и корня зуба. Это не самостоятельное заболевание, а симптом или следствие других патологических процессов в пародонте. Распространенность достигает 10% среди всех заболеваний пародонта, причем у людей старше 50 лет она встречается практически в 90% случаев, а после 80 лет — у 90% пациентов. У детей частота составляет около 8%.

Причины и факторы риска
Рецессия десны — полиэтиологическое состояние. Ключевые причины и факторы риска включают:
1. Местные факторы
- Травматическая гигиена:
Агрессивная чистка зубов жесткими щетками, горизонтальные движения приводят к повреждению десневого края. Особенно уязвимы клыки из-за их вестибулярного положения.
- Анатомические особенности:
- Тонкий биотип десны (толщина <1,5 мм), узкая зона кератинизированной десны.
- Мелкое преддверие полости рта, высокое прикрепление уздечек, массивные слизисто-эпителиальные тяжи.
- Невыраженность экваторов зубов, что способствует травматизации десны пищей при жевании.
- Окклюзионные нарушения:
Глубокий прикус, дизокклюзия, протрузия зубов вызывают перегрузку пародонта и ишемию тканей.
2. Воспалительные заболевания
Хронический пародонтит, гингивит, быстропрогрессирующий пародонтит. Бактериальный налет и поддесневой камень провоцируют деструкцию кости и десны.
3. Ятрогенные воздействия
- Ортодонтическое лечение (особенно при использовании чрезмерных сил).
- Неправильно установленные коронки, пломбы с нависающими краями, перфорация корня при эндодонтии.
- Пирсинг губ/языка, вызывающий хроническую травму.
4. Системные факторы
- Возрастные изменения (физиологическая рецессия после 35–60 лет).
- Курение (вызывает спазм сосудов, ишемию тканей).
- Дефицит витаминов (С, D, группы B), гормональные изменения (менопауза, беременность).
Классификация рецессии десны
1. По этиологии:
- Травматическая: Локальная, вызвана механическим повреждением.
- Симптоматическая: Следствие воспаления (пародонтит) или системных заболеваний.
- Физиологическая: Возрастная, связана с инволютивными процессами.
2. По тяжести:
|
Степень |
Глубина оголения корня |
|
Легкая |
≤3 мм |
|
Средняя |
3-5 мм |
|
Тяжелая |
>5 мм |
3. Классификация Миллера (наиболее клинически значимая):
*Таблица: Классы рецессии по Миллеру и прогноз лечения*
|
Класс |
Характеристика |
Прогноз закрытия рецессии |
|
I |
Рецессия в пределах слизисто-десневого соединения (СДС), без потери межзубных тканей |
95–100% |
|
II |
Рецессия ниже СДС, межзубные ткани сохранены |
85–95 % |
|
III |
Рецессия ниже СДС + частичная потеря межзубных тканей |
Частичное закрытие (50–70%) |
|
IV |
Полная утрата межзубных тканей, корни оголены циркулярно |
Неблагоприятный |
Прогнозы без правильного лечения
Отсутствие терапии приводит к прогрессированию рецессии и тяжелым осложнениям:
1. Гиперчувствительность зубов:
Оголенные корни лишены эмали, что вызывает боль при контакте с холодным/горячим, кислым/сладким.
2. Кариес корня:
Цемент корня менее устойчив к кариесу, чем эмаль. Риск повышается на 40–60% при оголении >3 мм.
3. Эстетические дефекты:
Удлинение зубов, появление «черных треугольников» между зубами, нарушение контура десны.
4. Потеря зубов:
Убыль костной ткани и десны ведет к подвижности зубов. При рецессии >5 мм риск потери зуба в 3 раза выше.
5. Хроническое воспаление:
Пародонтальные карманы становятся резервуарами для бактерий, провоцируя гингивит, пародонтит и галитоз.
Современные методы лечения
Тактика зависит от класса рецессии, ее причины и степени тяжести.

1. Консервативная терапия (при I–II классе по Миллеру):
- Профессиональная гигиена: Удаление налета и камня ультразвуком или системой Vector.
- Коррекция гигиены: Замена щетки на мягкую, обучение технике чистки (выметающие движения), подбор паст для снижения чувствительности.
- Медикаментозная терапия:
- Аппликации гелями с гиалуроновой кислотой (стимуляция регенерации).
- Плазмолифтинг (инъекции обогащенной тромбоцитами плазмы).
- Препараты типа Emdogain® (содержат факторы роста, запускающие восстановление тканей) — эффективность до 95%.
2. Хирургические методы:
- Лоскутные операции:
- Латеральный перемещенный лоскут — для закрытия единичных дефектов.
- Коронарно смещенный лоскут — при множественных рецессиях.
- Трансплантация тканей:
- Аутотрансплантат с нёба (золотой стандарт при дефиците кератинизированной десны).
- Аллотрансплантаты (коллагеновые матрицы FibroGide®, Mucograft®) — снижают травматизацию донорской зоны.
- Направленная регенерация тканей (НРТ):
Применение резорбируемых мембран в сочетании с костной пластикой. Эффективно при III классе по Миллеру.
3. Сопутствующие вмешательства:
- Вестибулопластика (при мелком преддверии рта).
- Коррекция уздечек губ.
- Ортодонтическое лечение (исправление прикуса).
Контроль результатов и профилактика
Критерии успешного лечения:
- Полное закрытие корня (для I–II класса Миллера).
- Увеличение зоны кератинизированной десны до 3–5 мм.
- Отсутствие рецидива в течение 1–3 лет.
Протокол наблюдения:
1. Осмотр через 7–10 дней (оценка заживления).
2. Контроль через 3–6 месяцев (измерение глубины рецессии, индекса гигиены).
3. Ежегодный мониторинг (фотопротокол, зондирование).
Профилактика рецидивов:
- Индивидуальный подбор щеток и паст.
- Регулярная профессиональная гигиена (каждые 4–6 месяцев).
- Отказ от курения и пирсинга губ/языка.
- Использование ополаскивателей с антисептиками (например, Listerine® для защиты десен).
Заключение
Рецессия десны — многофакторная патология, требующая комплексного подхода. Ключ к успеху — ранняя диагностика и устранение причин (травматическая гигиена, воспаление, аномалии прикуса). Хирургические методы (лоскуты, трансплантаты) позволяют добиться стабильных результатов при I–III классах по Миллеру, но профилактика остается основой долгосрочного здоровья пародонта. Пациентам из групп риска (с тонким биотипом десны, курильщикам, ортодонтическим больным) показаны ежегодные осмотры пародонтолога.
Статьи по стоматологии
Смотреть все